心电图、心脏彩超机、冠脉造影三个检查是临床心脏疾病诊治最常用的诊断工具,它们各有用途,不能相互替代。大为B超机就为大家介绍一下最常见的3种心脏检查——心电图、心脏彩超、冠脉造影,这3种检查都预示哪方面疾病,帮患者做到心中有数。
临床工作中,经常有患者因为胸痛、胸闷、心慌、憋气、头晕等不适去心脏专科就诊。随后医生会开出相关的检查,有的时候会要求患者做好几项检查,比如心电图、心脏彩超、冠脉造影等等。经常有患者抱怨:“我做了心电图,为什么还要用彩超机做彩超?”“我一会就要做造影,还有必要做彩超吗?”还有些患者嫌做这么多检查太麻烦了,还“浪费”钱。那么,为什么要做这么多检查呢?
心电图检查
心电图是检查心脏电活动的,比如心律不齐、早搏,以及急性心肌梗死都可以靠心电图诊断。这些病都伴随着心脏电活动的改变。但是心电图的诊断依赖于发病与否。
比如心慌这个症状,在发作期可能心电有改变,而缓解期心电完全可以恢复正常。所以当患者有心脏不舒服时,比如感到胸闷、心慌、胸痛,第一要务不是去大医院找专家,而是就近立刻在发病时捕捉一份心电图,捕捉好发病时的心电图再找专家也不迟。
常见的心电图有3种:常规心电图即静息心电图,动态心电图(又称Holter)和运动平板心电图。

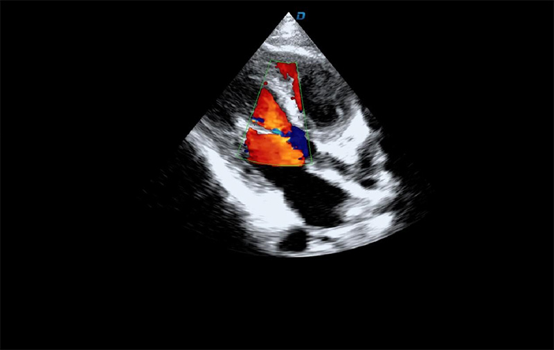
心脏彩超机检查
有些心脏病会引起心脏电活动的改变,但是有些心脏的疾病却不影响心电,而只影响心脏本身的结构。比如心脏扩大,心脏收缩无力,心脏的瓣膜关闭不严密,这些疾病的诊断及发现更多的依赖于心脏彩超,这些病变一般不随症状的缓解而缓解。心脏超声心动图,不需要开胸,就可以看到心脏的大小、内部结构、瓣膜运动情况等。除了探头压迫可能会有疼痛或不适感外,对患者没有任何创伤。
临床上,心脏超声心动图主要用于对各种先心病、心脏瓣膜病的诊断;各种心肌病、心包疾病的诊断和心脏功能的评估。部分严重肺气肿、胸廓畸形等患者,因为超声图像质量欠佳而诊断效果受到一定限制。


冠脉造影
冠状动脉是给心脏供血的血管,当这个血管或者它的分支出现病变,我们就会患上冠心病(心肌缺血)。在轻度病变的时候, 患者没有症状,或者出现心绞痛。严重病变的时候会有形成心肌梗死的风险。
前临床常用的冠状动脉造影检查包括冠状动脉CT血管造影(CTA)和介入冠状动脉造影两种,都是评价动脉是否存在病变以及指导治疗的重要手段,两者各有优缺点,也各有利弊,在不同情况下选择不同的检查方式,需要根据情况来决定,不能一成不变的认为CTA好或者介入造影更好。

心电图、心脏彩超、冠脉造影三个检查各具有其优势和缺陷,因此临床医生要根据不同患者的病情酌情选择合适的检查手段。